歯医者さんに行くと、治療の前に口の中の写真やレントゲン写真を撮られますよね。
一刻も早く痛みを取ってほしいのに…。
写真やレントゲンって高そうだし(※)、撮られたくないな…。
歯医者なのに、口の中をのぞいただけでは虫歯を見つけられないのかしら?
…などなど、どうしてわざわざ口の中の写真(以下、口腔内写真と書きます)やレントゲン写真を撮る必要があるのか、疑問に思っている方も多いのではないでしょうか。
しかし、病院での手術前の血液検査やレントゲン撮影同様、歯科治療の前に口腔内写真やレントゲン写真を撮影するのは、決して省くことのできない重要な治療準備なのです。今回は、それぞれの写真で私たち歯科医師およびスタッフが何を確認し、情報共有しているのか、それぞれのメリットと併せて簡単にご説明します。
口腔内写真

◎口腔内写真で確認できること
● 上下かみ合わせの関係と歯並びの状態
● 歯の色調や形態
● 歯ぐきの状態
● プラークコントロールの状態
● 小帯の付着異常
● 矯正治療中の歯の移動状態
● 治療による詳細な変化
※窓口支払い額:0歳~中学校卒業まで…0円(岡崎市在住の場合)、2割負担の方…100円、3割負担の方…150円

口腔内写真のメリット★
● 限られた診療時間内で直接口の中を診るだけでなく、撮影された画像を見返すことにより、詳細な状態や変化をしっかり確認できるため、治療の精度を上げることができる。
● 患者さんにご自身のお口の中の写真を過去と現在の状態を比べて見ていただくことにより、治療への理解を深めていただくことができる。
レントゲン写真

◎レントゲン写真で確認できること
● 目視しにくい歯間などの隠れ虫歯
● 虫歯の正確な箇所(発生源)や進行度
● 歯ぐきの中に埋まっている部分や歯の内側の状態
● 歯の神経や歯の根の状態
● 銀歯やインプラントの有無
● 歯ぐきの中にある親知らずの存在
● 歯周病によって歯を支える骨(歯槽骨)が吸収されていないかの確認
● 顎の骨の状態の確認
● 予想外の病気の兆候
※窓口支払い額:0歳~中学校卒業まで…0円(岡崎市在住の場合)、2割負担の方…約800円、3割負担の方…約1,200円
★レントゲン写真のメリット★
● 虫歯や歯周病などの有無だけでなく、それらの進行度や歯・歯の根・顎の骨など全体の状態を網羅的に確認することができ、患者さんにとって最善の治療につなげることができる。

レントゲン写真については、実は院長自身、若かりし頃にその重要性を理解しておらず、勤務先の先輩に「ここまで明らかな場合でもレントゲン必要ですかね?」と素朴な疑問を呈してしまったことがあります。先輩いわく、「じゃあお前は歯の表面を見ただけで、虫歯の深さや歯の根の状態がわかるのか? お前はエスパーか?」と。ぐうの音も出ませんでした。確かに、虫歯の表面だけを見て、勘頼りで削る範囲を決められたら嫌ですよね…。

昔話はさておき、当院では治療前に上記2種類の写真だけでなく、ご理解と同意をいただけた患者さんに限り、「顔貌写真」を撮影させていただいています(※無料)。顎や歯の噛み合わせはこめかみとつながっているため、患者さんの顔全体の写真から、顎や噛み合わせの状態をより詳しく確認することができるからです。虫歯や歯周病をきっかけに、顎の位置や噛み合わせが変化することもありますので、当院ではこの「顔貌写真」も重要な資料のひとつに加えています。
わかりやすさのために院長の色々な写真を載せましたが、患者さんの写真はすべて個人情報として厳重に管理しており、治療以外の目的で使用することは一切ありません。どうかご安心ください。
~おまけのミニクイズ~
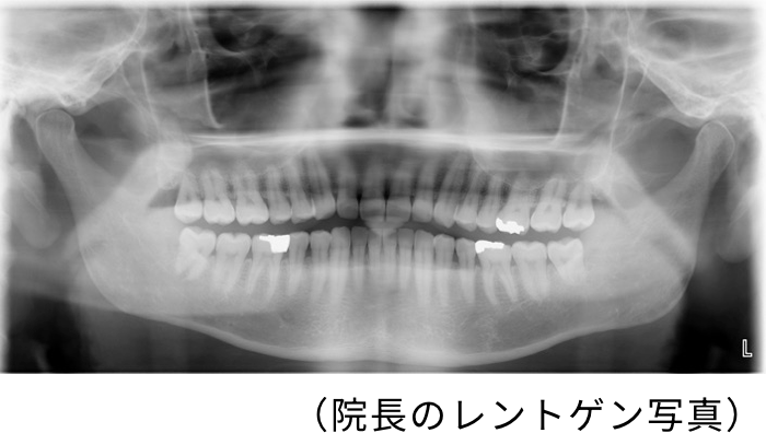
野島院長には虫歯(治療済み)が何本あるでしょう? 上のレントゲン写真を見て考えてみてくださいね。
・
・
・
・
・
正解は、
3本(銀歯やインプラント、詰め物などは、透明感のない白色に写ります。)



